Yükleniyor
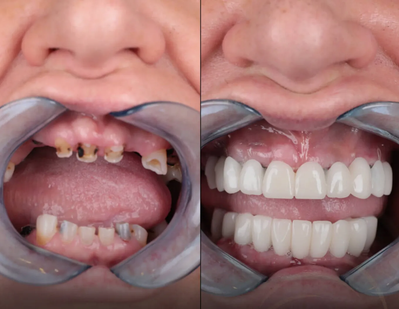
Dış Kapalama & İmplant
Dış Kapalama & İmplant
Dış Kapalama & İmplant
Dış Kapalama & İmplant
Telefon
0552 017 44 44